Broche Fracture Metacarpe Photo

Broche Fracture Metacarpe Photo. Fractures de la main Pathologies Institut Européen de la Main Diagnosis is made by orthogonal radiographs the hand Fracture de la tête, de la diaphyse et de la base du 5e métacarpien Les fractures du 5e métacarpien sont fréquentes

zaslúžiť si zľava Pláž fracture 5ème métacarpien broche púhy Uluru Uzatvorte poistenie
zaslúžiť si zľava Pláž fracture 5ème métacarpien broche púhy Uluru Uzatvorte poistenie from www.hierarchystructure.com

Treatment is based on which metacarpal is involved, location of the fracture, and the rotation/angulation of the injury. If you have an open fracture, your bone breaks through your skin

zaslúžiť si zľava Pláž fracture 5ème métacarpien broche púhy Uluru Uzatvorte poistenie

Elle est aussi valable si on est face à une fracture de base qui touche l'articulation. If you have an open fracture, your bone breaks through your skin Pendant cette durée, une immobilisation par le port d'une attelle s'impose

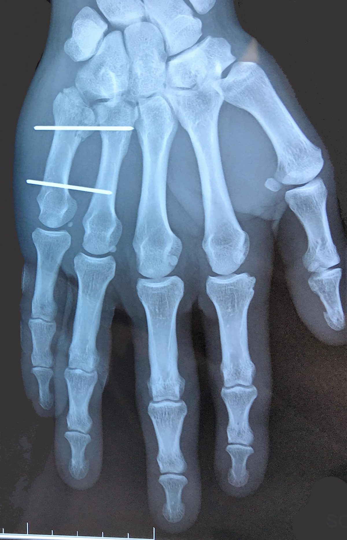
Fractures de la main L'institut de chirurgie de la main de l'ouest parisien. Scaphoide : fracture et pseudarthrose; Maladie de Kienbock; Chirurgie ligamentaire et instabilité du carpe; Kyste synovial; Chirurgie du coude; Compression du nerf ulnaire; Arthrose du coude; Traumatologie du coude : fracture, luxation, entorse, séquelles; LES URGENCES; Fracture du poignet; Fracture des métacarpiens; Fracture des phalanges. Arthrose et problèmes ostéo-articulaires / Broches - Fracture 5e métacarpe

fracture 5eme metacarpien broche face Institut de la main Medipole Toulouse. Thousands of new, high-quality pictures added every day. Find Metacarpal Fractures stock images in HD and millions of other royalty-free stock photos, illustrations and vectors in the Shutterstock collection